Les sondes de technologie S-Vue™ disposent d'une sensibilité accrue et d'une bande passante plus large que les sondes conventionnelles. Elles garantissent une résolution d’image optimale, même chez les patientes techniquement difficiles. De plus la petite taille et la légèreté de ces sondes améliorent les conditions d'examen au quotidien.
Abdomen, obstétrique, gynécologie, échographie de contraste
Obstétrique, gynécologie, abdomen
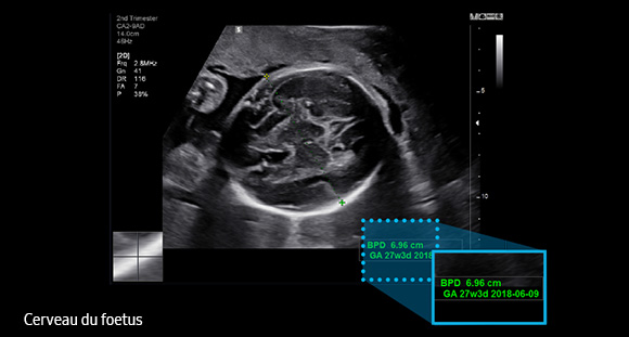
Le BiometryAssist™ est une technologie de biométries semi-automatisées qui permet à l'utilisateur de gagner en efficacité et en productivité.
Le RealisticVue™ propose des rendus anatomiques de haute résolution en 3D/4D. Une source lumineuse est modélisée afin de permettre un effet d'ombre sur les structures et de surligner les zones d'intérêt.
Le filtre de réduction de bruit ClearVision améliore les contours d'une structure anatomique et augmente le rapport signal sur bruit. Il permet de délivrer des images 2D plus nettes et augmente la différenciation tissulaire.
Sélectionnez votre département en cliquant sur une des zones géographiques ci-dessous
Le HS60 est un dispositif médical réglementé de classe IIa portant le marquage CE au titre de cette réglementation. Fabriqué par Samsung Medison Co. Ltd. (Corée du Sud), l’évaluation de la conformité a été réalisée par l’organisme notifié TÜV SÜD PRODUCT SERVICE GMBH (CE0123).
Le HS60 est destiné au diagnostic médical par imagerie ultrasonore. Ce dispositif est destiné à être utilisé dans le cadre d’examens d’imagerie sur des parties du corps entier.
Lisez attentivement la notice d’utilisation ainsi que le « Guide de bon usage des examens d’imagerie médicale » publié par la HAS (2012) et l’arrêté du 20 avril 2018 relatif aux examens d’imagerie pour le suivi des femmes enceintes et le diagnostic prénatal.
Le design des stands des échographes a été inspiré des stands SAMSUNG Healthcare imaginés par l’agence Côté Face.
Réalisation du stand virtuel 3D par le L.E.N Médical.