Le formateur d’image et les connecteurs de sondes sont situés sous le lit d’examen afin de laisser davantage d’espace pour les jambes du praticien. Le câble de la sonde aide à réduire la tension musculaire, la force de traction maximale et la charge exercée sur le poignet. Le support retient le poids du câble et le maintien à une hauteur plus haute qu’un système conventionnel, rendant ainsi la sonde plus légère lors de son utilisation.
*Le lit d'examen intégré est un produit dissocié, spécialement conçu pour être compatible avec le HERA I10
** Comparé au Samsung WS80A
Les sondes de technologie S-Vue™ disposent d'une sensibilité accrue et d'une bande passante plus large que les sondes conventionnelles. Elles garantissent une résolution d’image optimale, même chez les patientes techniquement difficiles. De plus la petite taille et la légèreté de ces sondes améliorent les conditions d'examen au quotidien.
Abdomen, obstétrique, gynécologie
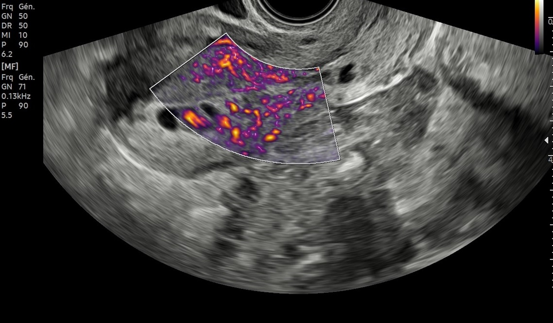
Abdomen, obstétrique, gynécologie, échographie de contraste
Obstétrique, gynécologie, abdomen, pédiatrie
Obstétrique, gynécologie, abdomen
Grâce au HERA I10, conviez vos patientes à découvrir un environnement chaleureux et accueillant afin de limiter l’anxiété de l’examen échographique. Le lit d’examen intégré, réglable et motorisé propose 4 positions programmables pour sécuriser l’installation des patientes dans une position optimale, propice à la bonne acquisition des images nécessaires à un diagnostic fiable.
SonoSync™ est une solution de partage d’images échographiques à distance, sur tout type de support. Les fonctions chat audio, marquage en temps réel et affichage unique sur un seul écran (option MultiVue) favorisent une collaboration optimale et rapide entre plusieurs utilisateurs et développent la télé-expertise.
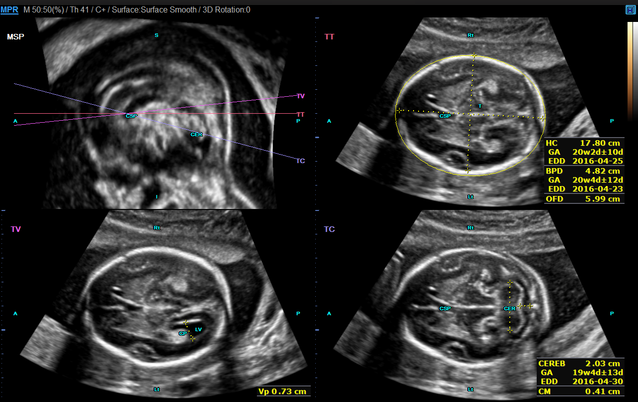
Le 5D CNS+™ est un module qui permet de générer et de reconstruire 9 plans de coupe automatiquement à partir d'une acquisition volumique sur le cerveau fœtal. Les calipers sont positionnés automatiquement par l'échographe à la demande de l'utilisateur.
5D Heart™ est un outil intelligent permettant d’établir un diagnostic cardiaque fiable grâce à la visualisation des 9 coupes essentielles, recommandées par les sociétés internationales. Couplé à l’analyse des échanges vasculaires cardiaques, il rend l’examen du cœur plus intuitif indépendamment de la position du fœtus.
Le BiometryAssist™ est une technologie de biométries semi-automatisées qui permet à l'utilisateur de gagner en efficacité et en productivité.
Sélectionnez votre département en cliquant sur une des zones géographiques ci-dessous
Le HERA I10 est un dispositif médical réglementé de classe IIa portant le marquage CE au titre de cette réglementation.
Fabriqué par Samsung Medison Co. Ltd. (Corée du Sud), l’évaluation de la conformité a été réalisée par l’organisme notifié TÜV SÜD PRODUCT SERVICE GMBH (CE0123). Le HERA I10 est destiné au diagnostic médical par imagerie ultrasonore. Ce dispositif est destiné à être utilisé dans le cadre d’examens d’imagerie sur des parties du corps entier.
Lisez attentivement la notice d’utilisation ainsi que le « Guide de bon usage des examens d’imagerie médicale » publié par la HAS (2012) et l’arrêté du 20 avril 2018 relatif aux examens d’imagerie pour le suivi des femmes enceintes et le diagnostic prénatal.
Le design des stands des échographes a été inspiré des stands SAMSUNG Healthcare imaginés par l’agence Côté Face.
Réalisation du stand virtuel 3D par le L.E.N Médical.